
«Матовое стекло» – термин, применяющийся для характеристики процессов, сопровождающихся снижением плотности легочной ткани – признак интерстициального типа инфильтрации.
Эффект матового стекла в легких — что это
«Матовое стекло» – это участок умеренно сниженной воздушности легочной ткани, ключевой признак данного состояния – видимость легочных сосудов и стенок бронхов.
Данные изменения выявляются при расшифровке рентгенограмм легких, при ВРКТ и при обычной КТ грудной клетки – намного чаще – на высоте вдоха.
Причина возникновения феномена «матового стекла» – утолщение межальвеолярных перегородок, частичное заполнение альвеол содержимым (более редкое состояние, возникающее, например, при аспирации жидкости любого характера, в том числе крови), гиповентиляция (в том числе физиологическая – на выдохе), а также гиперперфузия (усиление кровоснабжения).

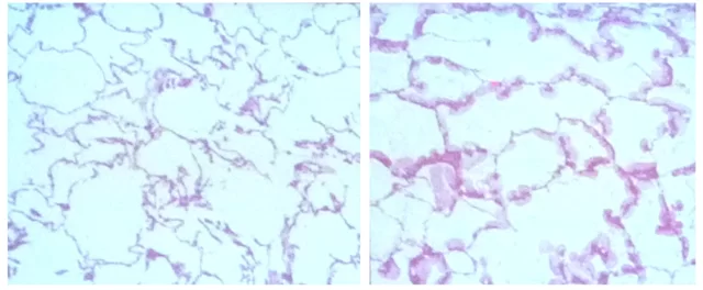
Тканевая структура межальвеолярных перегородок (гистологическое исследование, одно и то же увеличение в обоих случаях). Слева показаны межальвеолярные перегородки обычной толщины (при КТ легких не будет изменений), справа – утолщенные межальвеолярные пререгородки (на КТ ОГК – «матовое стекло».

Симптом «матового стекла» при томографии легких нужно дифференцировать с множеством очагов сливного типа (как перилимфатических, так и хаотичных, гематогенных), милиарного размера, которые также могут имитировать изменения при КТ легких, характерные для «матового стекла». Также на рентгеновских снимках легких и КТ данный симптом могут давать некоторые субсолидные опухоли.
Состояния, которые имитируют изменения по типу «матового стекла»: КТ на выдохе, КТ в нетипичном положении, у новорожденных и младших детей, а также кардиомегалия и нетипичное расположение диафрагмы.
Дифференциальная диагностика при «матовом стекле» должна проводиться с альвеолярным протеинозом, отеком и кровоизлиянием в альвеолы, вирусной инфекцией, пневмонией, пневмонитом и некоторыми другими.
Варианты проявлений «матового стекла» на КТ легких: симптом «лоскутного одеяла» – утолщение междольковых перегородок в зонах повышения плотности по типу «матового стекла»; мозаичная плотность «матового стекла» – изменения при этом характеризуются чередованием участков различной (высокой и низкой) плотности в легочной ткани.

«Лоскутное одеяло» и «мозачиная плотность» легочной ткани – различные варианты матовости при томографии легких.
«Консолидация» – термин, под которым принято понимать участок ткани легкого, лишенный воздуха – признак альвеолярной инфильтрации. При этом воздух из просвета альвеол может быть вытеснен жидкостью, объемным процессом – чем угодно. Просветы бронхов при консолидации при анализе КТ видны, стенки бронхов и сосуды не видны.
Характеристика изменений в легких при «матовом стекле»
Характеристика изменений по типу «матового стекла» дается следующим образом: во-первых, необходимо определить, диффузное либо локальное уплотнение имеет место; выяснить также размер и характер уплотнений, их локализацию, и обязательно сопоставить КТ-картину с клиникой. Необходимо дифференцировать состояния, которые могут проявлять себя «матовым стеклом».
Речь может идти о двух основных группах процессов в легких: острых состояниях (таких как пневмония, вызванная микоплазмой, вирусами; отек легких, легочное кровотечение и кровоизлияние в легкие; интерстициальная пневмония, в т. ч. эозинофильная).
Вторая группа состояний – хронические процессы, такие как гиперчувствительный пневмонит, альвеолярный протеиноз, аденокарцинома (и другие опухоли легких), хроническая пневмония.
Заболевания и состояния, сопровождающиеся изменениями в легких на КТ и рентгенограммах по типу «матового стекла»
Различные варианты «матового стекла» у пациентов с острыми состояниями встречаются в 9-28% случаев (данные кафедры лучевой диагностики ММА им. Сеченова), наиболее часто – у пациентов с вирусными пневмониями, верифицирующий признак вирусной инфекции при этом – множественные очаги по ходу лимфатических сосудов на фоне «матового стекла» по типу интерстициальной инфильтрации.
«Матовое стекло» при бактериальной полисегментарной пневмонии. КТ.
Пневмоцистная пневмония на КТ также дает картину «матовости». Клиническая симптоматика нарастает постепенно (4-8 недель), имеет место одышка, лихорадка. На рентгенограммах легких при анализе можно выявить изменения по типу «матового стекла», при расшифровке компьютерной томографии дополнительно можно выявить перилимфатические очаги небольшого размера.
Состояния неинфекционной природы также могут стать причиной неполного снижения воздушности легких. Так, это кардиогенный отек легких, причина возникновения которого – накопление жидкости по ходу легочных перегородок.
Опухоли легкого – аденокарцинома – также является причиной утолщения межальвеолярных перегородок (за счет прорастания и распространения по ним) и возникновения диффузного «матового стекла».
Острый респираторный дистресс-синдром также проявляется изменениями по типу «матового стекла», которые возникают на 2-3 день заболевания – появляются фрагментарные участки сниженной воздушности с обеих сторон, имеющие вид «лоскутного одеяла», с характерным более кортикальным распределением.
Для уплотнений легочной ткани при этом характерен также синдром «воздушной бронхографии» (визуализируются просветы бронхов, содержащие газ). Имеет место гравитационный (передне-задний при нахождении пациента в положении стоя) градиент.
Подобные изменения в легких могут быть причиной заболеваний других органов – например, почек (пиелонефрит, абсцесс почки и др.), либо височных костей (деструктивный отит).
КТ-картина при респираторном дистресс-синдроме обусловлена пропотеванием жидкой части крови в альвеолы за счет нарушения проницаемости сосудистой стенки. В случае наличия положительной динамики на КТ грудной клетки определяются остаточные изменения интерстиция.
Криптогенная организующаяся пневмония может характеризоваться участками уплотнения ткани легкого по типу консолидации и «матового стекла» совместно. Также наблюдается расширение бронхов, симптом «обратного ободка».
Симптом «матового стекла» — Лучевая диагностика в педиатрии
(ground glass opacity) — один из наиболее распространенных признаков диффузных заболеваний легких.
Этот симптом неспецифический и обычно соответствует интерстициальному типу инфильтрации легкого, при котором патологический субстрат располагается преимущественно между альвеолами и может вызывать их неполное спадение, утолщение межальвеолярных перегородок и частичную гиповентиляцию участка легкого. Несмотря на уменьшение объема, альвеолы остаются воздушны, что на фоне уплотнения межальвеолярного пространства и формирует картину полупрозрачности легочной ткани — симптома «матового стекла».
Обычно, данный симптом практически не визуализируется при классической рентгенографии, но хорошо определятся при компьютерной томографии.
Симптом «матового стекла» на компьютерной томографии представляется как диффузное или ограниченное повышение плотности легочной ткани, при которой сохраняется визуализация сосудов и бронхов в зоне патологического процесса.
Симптом «матового стекла» не изменяется на томограммах, проведенных на вдохе и выдохе. Сохранение легочного рисунка при повышении плотности ткани отличает интерстициальный тип инфильтрации от альвеолярного, а также от фиброзных изменений легких.
Симптом «матового стекла» — неспецифический рентгенологический симптом, однако чаще всего встречается в определенном кругу заболеваний:
- Пневмонии любой этиологии (чаще у иммунокомпрометированных больных), часто сочетается с инфильтрацией стенок альвеол, утолщением бронхов
- Интерстициальные заболевания легких
- Отек легких, РДС
- Другие причины (системные заболевания соединительной ткани).
Часто симптом «матового стекла» связывают с симптомом хало (ареола) и обратного хало. Симптом хало при компьютерной томографии визуализируется как затухающая зона снижения пневматизации по типу «матового стекла» вокруг участка консолидации в легких.
Гистологически он представляет собой очаг кровоизлияния (инфаркта) легкого, окружающий инфекционный, воспалительный или неопластический процесс в легком.
Данный симптом также неспецифичен для какого-либо конкретного заболевания, но часто является признаком грибкового поражения легких.
Симптом обратного хало (симптом атолла) определяется как зона изменения легочной ткани по типу «матового стекла», окруженная более плотной консолидацией.
Гистопатологически центральная область соответствует воспалительным изменениям стенок альвеол и интерстициальной инфильтрации межальвеолярного пространства. Периферическая область соответствует гранулематозной консолидации ткани.
Симптом матового стекла в легких: причины проявления и возможные последствия
Изменение прозрачности легочной ткани – симптом, который довольно часто встречается в практике доктора визуализирующих методик. Основная часть болезней, которая вызывает эту ситуацию, связана с увеличением толщины перегородок между альвеолами. Другое название патологии – симптом (признак) матового или земляного стекла.
Причины развития
Компьютерная томография, применяемая для диагностики легочных заболеваний, в ряде случаев выявляет повышенную плотность ткани органа. Какие признаки типичны этому проявлению?
- Появление массивного затемнения.
- Структура бронхов, их стенки четко визуализируются.
- Сохранен сосудистый рисунок.
- Прозрачность ткани легких повышена.
Главное условие для того, чтобы определить, являются ли выявленные признаки патологией, – это проведение томографии с очень небольшим шагом среза. Иными словами, нужны тонкие срезы для получения наиболее достоверной информации. Для исключения физиологического генеза повышения прозрачности легочных полей следует исследовать орган в условиях максимального вдоха.
Симптом (признак) матового (земляного) стекла, развивающийся в обоих легких, сопровождает большое количество легочных и внелегочных заболеваний. Прежде всего, эти заболевания делятся на острые и хронические.
Первая группа патологических процессов представлена следующим списком болезней:
- пневмонии, вызванные вирусными частицами;
- сердечная недостаточность в стадии альвеолярного отека легких;
- кровотечение из легочных сосудов;
- интерстициальные пневмонии.
Хронически протекающие состояния могут также стать причиной возникновения симптома матового стекла в легких. К ним относятся заболевания, которые сопровождаются патологическими изменениями в альвеолярных перегородках и интерстициальной ткани.
Довольно часто диагностика системных заболеваний соединительной ткани осуществляется несвоевременно. Именно болезни этой группы могут в трети случаев говорить о легочных проявлениях.
Влияет ли низкий гемоглобин на низкую свертываемость крови
Симптом матового стекла типичен для системной красной волчанки, склеродермии, болезни Шегрена. Дополнять спектр исследований следует проведением поиска биохимических маркеров – антител к ядерным и другим клеточным структурам с помощью иммуноферментного анализа.
Следующая группа болезней связана с поражением интерстиция. К ним относится:
- саркоидоз;
- альвеолярный протеиноз;
- фиброзирующий альвеолит;
- гиперчувствительный пневмонит.

